- Clinica
- Odontoiatria
- Medicina Estetica
- Casi Clinici
- Pagamenti
- Contatti
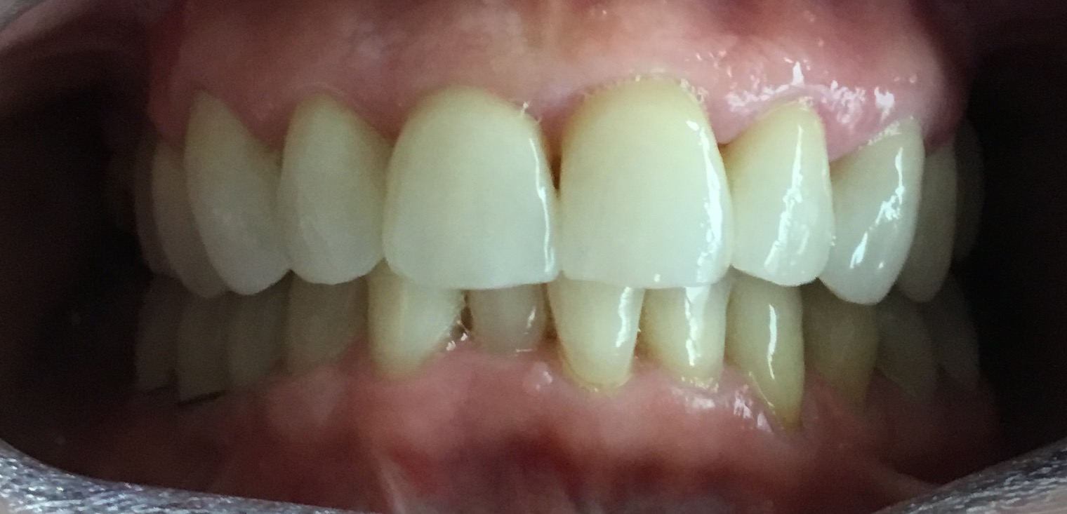
Le protesi fisse in zirconio-ceramica consentendo di riabilitare il sorriso con un’estetica impareggiabile, una biocompatibilità nei confronti dei tessuti gengivali che consente un’integrazione eccellente.
Il sorriso appare naturale e grazie alla mimetizzazione delle corone, difficilmente distinguibili dai denti del paziente.
4.5 Recensioni su Google

Marketing Manager
Lorem ipsum dolor sit amet, consectet adipiscing elit, sed do eiusmod tempor incididunt ut labore et dolore magna aliqua enim ad minim veniam

Personal Trainer
Sed ut perspiciatis unde omnis iste natus error sit voluptatem accusantium doloremque laudantium, totam rem aperiam, eaque ipsa quae ab illo inventore veritatis et quasi architecto beatae vitae

Company CEO
Sed ut perspiciatis unde omnis iste natus error sit voluptatem accusantium doloremque laudantium, totam rem aperiam, eaque ipsa quae ab illo inventore veritatis et quasi architecto beatae vitae

Banker
Lorem ipsum dolor sit amet, consectet adipiscing elit, sed do eiusmod tempor incididunt ut labore et dolore magna aliqua enim ad minim veniam
ECCELLENTE In base a 900 recensioni Pubblicato su Mara StragapedeTrustindex verifica che la fonte originale della recensione sia Google. Scrupolosi e precisi!Pubblicato su Fabio FerrariTrustindex verifica che la fonte originale della recensione sia Google. Ho avuto un’esperienza davvero eccellente presso la Clinica Odontoiatrica Radice. Fin dal primo momento sono stato accolto con grande professionalità e cortesia: lo staff è sempre disponibile, attento e capace di mettere a proprio agio anche chi, come me, non ama particolarmente andare dal dentista. La struttura è moderna, pulita e ben organizzata, e si percepisce subito un alto livello di attenzione ai dettagli e all’igiene. I medici sono estremamente competenti e spiegano ogni intervento in modo chiaro e rassicurante, trasmettendo fiducia e sicurezza. Ho apprezzato molto anche la puntualità negli appuntamenti e la qualità delle tecnologie utilizzate, che rendono i trattamenti più rapidi ed efficaci. Consiglio vivamente questa clinica a chi cerca un servizio odontoiatrico serio, professionale e umano. Davvero un punto di riferimento!Pubblicato su Zini AbbigliamentoTrustindex verifica che la fonte originale della recensione sia Google. Ottimo
Compila il form qui a lato oppure utilizza i dati di contatto qui sotto per prenotare la tua visita.
+39 0362 343979
segreteria@clinicaradice.it
Ci preoccupiamo profondamente del comfort dei nostri pazienti andando a redigere piani di cura su misura.
La nostra clinica è dotata di attrezzature all'avanguardia e segue rigorosi protocolli per garantire la massima sicurezza e igiene.
Da lunedì a sabato la clinica è reperibile telefonicamente fino alle ore 00.00, la domenica e festivi fino alle ore 19:00.
Se stai cercando una clinica dentistica a Monza e Brianza, siamo qui per te.
Prenota oggi stesso una visita!.
Scrivi su WhatsApp